美容再生医療 症例写真

症例を探す

  • 若返りPRP注射(目尻)

    目尻

    施術名:若返りPRP注射(目尻のシワ)/施術の説明:ご自身の成長因子を皮下に注入することで目尻のシワが改善し、若々しい目元になっております。/施術の副作用(リスク):内出血や腫れを生じることがあります。

    施術の価格:89,000円(税込 97,900円)
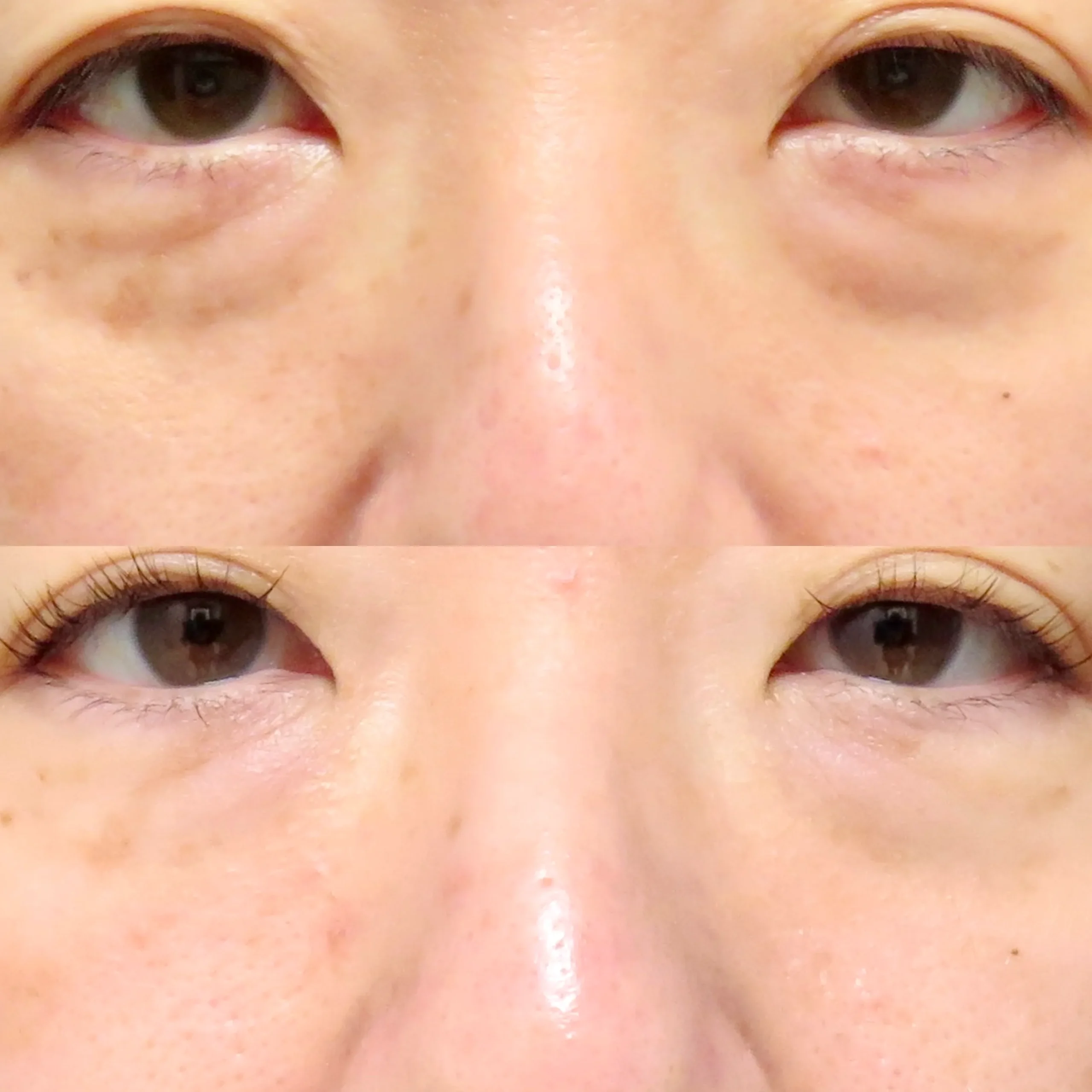
  • 目の下

    施術名:若返りPRP注射(目の下)/施術の説明:ご自身の成長因子を皮下に注入することで目の下のクマやちりめんジワが改善し、若々しい目元になっております。/施術の副作用(リスク):内出血や腫れを生じることがあります。

    施術の価格:89,000円(税込 97,900円)
  • ほうれい線

    施術名:若返りPRP注射(ほうれい線)/施術の説明:ご自身の成長因子を、ほうれい線に注入することで、内側からふっくらとハリ感を出すことができ深く刻まれたほうれい線を改善することができます。/施術の副作用(リスク):内出血や腫れを生じることがあります。

    施術の価格:89,000円(税込 97,900円)
  • 施術名:若返りPRP注射(首)/施術の説明:ご自身の成長因子を皮下に注入することで首のシワが改善し見た目年齢が若返っております。/施術の副作用(リスク):内出血や腫れを生じることがあります。/施術の価格:98,000円(税込107,800円)

    施術名:若返りPRP注射(首)/施術の説明:ご自身の成長因子を皮下に注入することで首のシワが改善し見た目年齢が若返っております。/施術の副作用(リスク):内出血や腫れを生じることがあります。

    施術の価格:98,000円(税込 107,800円)
  • 施術名:若返りPRP注射(ほうれい線)/施術の説明:ご自身の成長因子を、ほうれい線に注入することで、内側からふっくらとハリ感を出すことができ深く刻まれたほうれい線を改善することができます。/施術の副作用(リスク):内出血や腫れを生じることがあります。/施術の価格:89,000円(税込97,900円)

    ほうれい線

    施術名:若返りPRP注射(ほうれい線)/施術の説明:ご自身の成長因子を、ほうれい線に注入することで、内側からふっくらとハリ感を出すことができ深く刻まれたほうれい線を改善することができます。/施術の副作用(リスク):内出血や腫れを生じることがあります。

    施術の価格:89,000円(税込 97,900円)
  • 施術名:若返りPRP注射(手)/施術の説明:自身の成長因子を手に注入することで、肌再生効果で内側からふっくらと若々しい手にすることができます。/施術の副作用(リスク):内出血や腫れを生じることがあります。/施術の価格:手の甲128,000円(税込 140,800円)

    施術名:若返りPRP注射(手)/施術の説明:自身の成長因子を手に注入することで、肌再生効果で内側からふっくらと若々しい手にすることができます。/施術の副作用(リスク):内出血や腫れを生じることがあります。

    施術の価格:手の甲128,000円(税込 140,800円)
  • ほうれい線

    施術名:若返りPRP注射(ほうれい線)/施術の説明:ご自身の成長因子を、ほうれい線に注入することで、内側からふっくらとハリ感を出すことができ深く刻まれたほうれい線を改善することができます。/施術の副作用(リスク):内出血や腫れを生じることがあります。

    施術の価格:89,000円(税込 97,900円)
  • ポニーテールリフト

    施術名:ポニーテールリフト/施術の説明:PRPを含んだコラーゲン吸収糸を皮下に挿入することで頭皮のたるみを改善し、お顔全体を引き上げる施術です。/施術の副作用(リスク):内出血や腫れを生じることがあります。

    施術の価格:125,000円(税込 137,500円)
  • 施術名:PRP注射[お胸]/施術の説明:ご自身の成長因子を胸元に注入することで、ボリュームのある美しい胸になっております。/施術の副作用(リスク):内出血や腫れを生じることがあります。/施術の価格:3部位 380,000円(税込 418,000円)

    お胸

    施術名:PRP注射[お胸]/施術の説明:ご自身の成長因子を胸元に注入することで、ボリュームのある美しい胸になっております。/施術の副作用(リスク):内出血や腫れを生じることがあります。

    施術の価格:3部位380,000円(税込 418,000円)
  • ほうれい線

    施術名:若返りPRP注射(ほうれい線)/施術の説明:ご自身の成長因子を、ほうれい線に注入することで、内側からふっくらとハリ感を出すことができ深く刻まれたほうれい線を改善することができます。/施術の副作用(リスク):内出血や腫れを生じることがあります。

    施術の価格:89,000円(税込 97,900円)
  • 施術名:PRP注射[お胸]/施術の説明:ご自身の成長因子を胸元に注入することで、ボリュームのある美しい胸になっております。/施術の副作用(リスク):内出血や腫れを生じることがあります。/施術の価格:4部位 490,000円(税込 539,000円)

    お胸

    施術名:PRP注射[お胸]/施術の説明:ご自身の成長因子を胸元に注入することで、ボリュームのある美しい胸になっております。/施術の副作用(リスク):内出血や腫れを生じることがあります。

    施術の価格:4部位490,000円(税込 539,000円)
  • PRPスレッドリフト(スタンダード)

    フェイスライン

    施術名:PRPスレッドリフト(スタンダード)/施術の説明:従来のスレッド単独では得られない、長期間のリフトアップ効果、輪郭補正効果 、美肌再生効果のトリプル効果により、お顔の劇的な若返り効果が得られます。/施術の副作用(リスク):内出血や腫れを生じることがあります。

    施術の価格:245,000円(税込 269,500円)
  • 施術名:若返りPRP注射(首)/施術の説明:ご自身の成長因子を皮下に注入することで首のシワが改善し見た目年齢が若返っております。/施術の副作用(リスク):内出血や腫れを生じることがあります。/施術の価格:98,000円(税込107,800円)

    施術名:若返りPRP注射(首)/施術の説明:ご自身の成長因子を皮下に注入することで首のシワが改善し見た目年齢が若返っております。/施術の副作用(リスク):内出血や腫れを生じることがあります。

    施術の価格:98,000円(税込 107,800円)
  • 施術名:PRP下眼瞼脱脂術/施術の説明:眼窩脂肪を取り出す「下眼瞼脱脂術」と「若返りPRP注射」を組み合わせハリのある美しい目元にする施術です。/施術の副作用(リスク):内出血や腫れを生じることがあります。/施術の価格:198,000円(税込 217,800円)

    目の下

    施術名:PRP下眼瞼脱脂術/施術の説明:眼窩脂肪を取り出す「下眼瞼脱脂術」と「若返りPRP注射」を組み合わせハリのある美しい目元にする施術です。/施術の副作用(リスク):内出血や腫れを生じることがあります。

    施術の価格:240,000円(税込 264,000円)
  • PRP注射プレミアム(額・こめかみ)

    施術名:PRP注射プレミアム(額・こめかみ)/施術の説明:凸凹になりやすいヒアルロン酸や定着率の低い脂肪注入とは違い、肌再生されることでナチュラルなふっくらとした額を形成することが可能です。/施術の副作用(リスク):内出血や腫れを生じることがあります。

    施術の価格:336,600円(税込 370,300円)
  • ほうれい線

    施術名:若返りPRP注射(ほうれい線)/施術の説明:ご自身の成長因子を、ほうれい線に注入することで、内側からふっくらとハリ感を出すことができ深く刻まれたほうれい線を改善することができます。/施術の副作用(リスク):内出血や腫れを生じることがあります。

    施術の価格:89,000円(税込 97,900円)
  • 施術名:w-スカルプ/施術の説明:ご自身の血液から抽出した成長因子を頭皮へダイレクトに注入することで、発毛サイクルを正常化し毛髪再生を促進する治療です。/副作用・リスク:効果の個人差、赤み、内出血、アレルギー反応、かぶれ/施術料金:1回 89,000円(税込 97,900円)

    毛髪

    施術名:w-スカルプ/施術の説明:ご自身の血液から抽出した成長因子を頭皮へダイレクトに注入することで、発毛サイクルを正常化し毛髪再生を促進する治療です。/副作用・リスク:効果の個人差、赤み、内出血、アレルギー反応、かぶれ

    施術の価格:1回89,000円(税込 97,900円)
  • 施術名:若返りPRP注射(アゴ)/施術の説明:アゴの先端にPRP注射を注入することで、フェイスラインをシャープにみせ輪郭を綺麗にすることができます。/施術の副作用(リスク):内出血や腫れを生じることがあります。/施術の価格:89,000円(税込 97,900円)

    あご

    施術名:若返りPRP注射(アゴ)/施術の説明:アゴの先端にPRP注射を注入することで、フェイスラインをシャープにみせ輪郭を綺麗にすることができます。/施術の副作用(リスク):内出血や腫れを生じることがあります。

    施術の価格:89,000円(税込 97,900円)
  • 水光PRP注射(全顔)

    全顔

    施術名:水光PRP注射(全顔)/施術の説明:ニキビ跡・クレーターを水光PRP注射で改善された患者様です。症状が改善しただけでなく、ハリのあるお肌になっております。/副作用(リスク):内出血や腫れを生じることがあります。

    施術の価格:120,000円(税込 132,000円)
  • PRP注射[お胸]

    お胸

    施術名:PRP注射[お胸]/施術の説明:ご自身の成長因子を胸元に注入することで、ボリュームのある美しい胸になっております。/施術の副作用(リスク):内出血や腫れを生じることがあります。

    施術の価格:2部位280,000円(税込 308,000円)
  • 目の下

    施術名:若返りPRP注射(目の下)/施術の説明:ご自身の成長因子を皮下に注入することで目の下のクマやちりめんジワが改善し、若々しい目元になっております。/施術の副作用(リスク):内出血や腫れを生じることがあります。

    施術の価格:89,000円(税込 97,900円)
  • 若返りPRP注射(目尻)

    目尻

    施術名:若返りPRP注射(目尻のシワ)/施術の説明:ご自身の成長因子を皮下に注入することで目尻のシワが改善し、若々しい目元になっております。/施術の副作用(リスク):内出血や腫れを生じることがあります。

    施術の価格:89,000円(税込 97,900円)
  • 目の下

    施術名:PRP下眼瞼脱脂術/施術の説明:眼窩脂肪を取り出す「下眼瞼脱脂術」と「若返りPRP注射」を組み合わせハリのある美しい目元にする施術です。/施術の副作用(リスク):内出血や腫れを生じることがあります。

    施術の価格:240,000円(税込 264,000円)
  • PRP注射プレミアム(頬)

    施術名:PRP注射プレミアム(頬)/施術の説明:深い溝となった頬のくぼみに注入することで、お顔のボリュームをふっくら若々しく整えることができます。/施術の副作用(リスク):内出血や腫れを生じることがあります。

    施術の価格:166,600円(税込 183,300円)
  • PRP下眼瞼脱脂術

    目の下

    施術名:PRP下眼瞼脱脂術/施術の説明:眼窩脂肪を取り出す「下眼瞼脱脂術」と「若返りPRP注射」を組み合わせハリのある美しい目元にする施術です。/施術の副作用(リスク):内出血や腫れを生じることがあります。

    施術の価格:240,000円(税込 264,000円)
  • 施術名:若返りPRP注射(ホホ)/施術の説明:ご自身の成長因子をホホに注入することで、内側からふっくらとハリ感を出すことができホホのお悩みを改善することができます。/施術の副作用(リスク):内出血や腫れを生じることがあります。/施術の価格:98,000円(税込107,800円)

    施術名:若返りPRP注射(ホホ)/施術の説明:ご自身の成長因子をホホに注入することで、内側からふっくらとハリ感を出すことができホホのお悩みを改善することができます。/施術の副作用(リスク):内出血や腫れを生じることがあります。

    施術の価格:98,000円(税込 107,800円)
  • 施術名:若返りPRP注射(目の下)/施術の説明:ご自身の成長因子を皮下に注入することで目の下のクマやちりめんジワが改善し、若々しい目元になっております。/施術の副作用(リスク):内出血や腫れを生じることがあります。/施術の価格:89,000円(税込97,900円)

    目の下

    施術名:若返りPRP注射(目の下)/施術の説明:ご自身の成長因子を皮下に注入することで目の下のクマやちりめんジワが改善し、若々しい目元になっております。/施術の副作用(リスク):内出血や腫れを生じることがあります。

    施術の価格:89,000円(税込 97,900円)
  • PRP下眼瞼脱脂術

    目の下

    施術名:PRP下眼瞼脱脂術/施術の説明:眼窩脂肪を取り出す「下眼瞼脱脂術」と「若返りPRP注射」を組み合わせハリのある美しい目元にする施術です。/施術の副作用(リスク):内出血や腫れを生じることがあります。

    施術の価格:240,000円(税込 264,000円)
  • PRP注射 [お尻]

    お尻

    施術名:PRP注射[お尻]/施術の説明:ご自身の成長因子をお尻に注入することで、美しいお尻になっております。/施術の副作用(リスク):内出血や腫れを生じることがあります。

    施術の価格:4部位490,000円(税込 539,000円)
  • w-スカルプ

    毛髪

    施術名:w-スカルプ/施術の説明:ご自身の血液から抽出した成長因子を頭皮へダイレクトに注入することで、発毛サイクルを正常化し毛髪再生を促進する治療です。/副作用・リスク:効果の個人差、赤み、内出血、アレルギー反応、かぶれ

    施術の価格:1回89,000円(税込 97,900円)
  • 施術名:若返りPRP注射(ほうれい線)/施術の説明:ご自身の成長因子を、ほうれい線に注入することで、内側からふっくらとハリ感を出すことができ深く刻まれたほうれい線を改善することができます。/施術の副作用(リスク):内出血や腫れを生じることがあります。/施術の価格:89,000円(税込97,900円)

    ほうれい線

    施術名:若返りPRP注射(ほうれい線)/施術の説明:ご自身の成長因子を、ほうれい線に注入することで、内側からふっくらとハリ感を出すことができ深く刻まれたほうれい線を改善することができます。/施術の副作用(リスク):内出血や腫れを生じることがあります。

    施術の価格:89,000円(税込 97,900円)
  • w-スカルプ [薄毛治療]

    毛髪

    施術名:w-スカルプ/施術の説明:ご自身の血液から抽出した成長因子を頭皮へダイレクトに注入することで、発毛サイクルを正常化し毛髪再生を促進する治療です。/副作用・リスク:効果の個人差、赤み、内出血、アレルギー反応、かぶれ

    施術の価格:1回89,000円(税込 97,900円)
  • 施術名:若返りPRP注射(額のシワ)/施術の説明:ご自身の成長因子を、額に注入することで、内側からふっくらとハリ感を出すことができ深く刻まれたほうれい線を改善することができます。/施術の副作用(リスク):内出血や腫れを生じることがあります。

    施術の価格:98,000円(税込 107,800円)
  • 目の下

    施術名:若返りPRP注射(目の下)/施術の説明:ご自身の成長因子を皮下に注入することで目の下のクマやちりめんジワが改善し、若々しい目元になっております。/施術の副作用(リスク):内出血や腫れを生じることがあります。

    施術の価格:89,000円(税込 97,900円)
  • ほうれい線

    施術名:若返りPRP注射(ほうれい線)/施術の説明:ご自身の成長因子を、ほうれい線に注入することで、内側からふっくらとハリ感を出すことができ深く刻まれたほうれい線を改善することができます。/施術の副作用(リスク):内出血や腫れを生じることがあります。

    施術の価格:89,000円(税込 97,900円)
  • 施術名:若返りPRP注射(目の下)/施術の説明:ご自身の成長因子を皮下に注入することで目の下のクマやちりめんジワが改善し、若々しい目元になっております。/施術の副作用(リスク):内出血や腫れを生じることがあります。/施術の価格:89,000円(税込97,900円)

    目の下

    施術名:若返りPRP注射(目の下)/施術の説明:ご自身の成長因子を皮下に注入することで目の下のクマやちりめんジワが改善し、若々しい目元になっております。/施術の副作用(リスク):内出血や腫れを生じることがあります。

    施術の価格:89,000円(税込 97,900円)
  • 施術名:若返りPRP注射(マリオネット)/施術の説明:ご自身の成長因子を注入することで、内側からふっくらとハリ感を出すことができ深く刻まれたシワを改善することができます。/施術の副作用(リスク):内出血や腫れを生じることがあります。/施術の価格:89,000円(税込97,900円)

    マリオネット

    施術名:若返りPRP注射(マリオネット)/施術の説明:ご自身の成長因子を注入することで、内側からふっくらとハリ感を出すことができ深く刻まれたシワを改善することができます。/施術の副作用(リスク):内出血や腫れを生じることがあります。

    施術の価格:89,000円(税込 97,900円)
  • 目の下

    施術名:若返りPRP注射(目の下)/施術の説明:ご自身の成長因子を皮下に注入することで目の下のクマやちりめんジワが改善し、若々しい目元になっております。/施術の副作用(リスク):内出血や腫れを生じることがあります。

    施術の価格:89,000円(税込 97,900円)
  • ほうれい線

    施術名:若返りPRP注射(ほうれい線)/施術の説明:ご自身の成長因子を、ほうれい線に注入することで、内側からふっくらとハリ感を出すことができ深く刻まれたほうれい線を改善することができます。/施術の副作用(リスク):内出血や腫れを生じることがあります。

    施術の価格:89,000円(税込 97,900円)
  • PRP注射[お胸]

    お胸

    施術名:PRP注射[お胸]/施術の説明:ご自身の成長因子を胸元に注入することで、ボリュームのある美しい胸になっております。/施術の副作用(リスク):内出血や腫れを生じることがあります。

    施術の価格:3部位380,000円(税込 418,000円)
  • w-スカルプ

    毛髪

    施術名:w-スカルプ/施術の説明:ご自身の血液から抽出した成長因子を頭皮へダイレクトに注入することで、発毛サイクルを正常化し毛髪再生を促進する治療です。/副作用・リスク:効果の個人差、赤み、内出血、アレルギー反応、かぶれ

    施術の価格:1回89,000円(税込 97,900円)
  • ポニーテールリフト

    施術名:ポニーテールリフト/施術の説明:PRPを含んだコラーゲン吸収糸を皮下に挿入することで頭皮のたるみを改善し、お顔全体を引き上げる施術です。/施術の副作用(リスク):内出血や腫れを生じることがあります。

    施術の価格:125,000円(税込 137,500円)
  • 若返りPRP注射(目尻)

    目尻

    施術名:若返りPRP注射(目尻のシワ)/施術の説明:ご自身の成長因子を皮下に注入することで目尻のシワが改善し、若々しい目元になっております。/施術の副作用(リスク):内出血や腫れを生じることがあります。

    施術の価格:89,000円(税込 97,900円)
  • 目の下

    施術名:PRP下眼瞼脱脂術/施術の説明:眼窩脂肪を取り出す「下眼瞼脱脂術」と「若返りPRP注射」を組み合わせハリのある美しい目元にする施術です。/施術の副作用(リスク):内出血や腫れを生じることがあります。

    施術の価格:240,000円(税込 264,000円)
  • 施術名:若返りPRP注射(首)/施術の説明:ご自身の成長因子を皮下に注入することで首のシワが改善し見た目年齢が若返っております。/施術の副作用(リスク):内出血や腫れを生じることがあります。/施術の価格:98,000円(税込107,800円)

    施術名:若返りPRP注射(首)/施術の説明:ご自身の成長因子を皮下に注入することで首のシワが改善し見た目年齢が若返っております。/施術の副作用(リスク):内出血や腫れを生じることがあります。

    施術の価格:98,000円(税込 107,800円)
  • 若返りPRP注射(首)

    施術名:若返りPRP注射(首)/施術の説明:ご自身の成長因子を皮下に注入することで首のシワが改善し見た目年齢が若返っております。/施術の副作用(リスク):内出血や腫れを生じることがあります。

    施術の価格:98,000円(税込 107,800円)
  • 目の下

    施術名:若返りPRP注射(目の下)/施術の説明:ご自身の成長因子を皮下に注入することで目の下のクマやちりめんジワが改善し、若々しい目元になっております。/施術の副作用(リスク):内出血や腫れを生じることがあります。

    施術の価格:89,000円(税込 97,900円)
  • 施術名:若返りPRP注射(手)/施術の説明:ご自身の血液から成長因子を抽出し、手の甲全体から指にかけてダイレクトに注入することで、皮膚そのものを修復・再生します。手がふっくらする事で細い血管が目立たなくなります。/施術の副作用(リスク):小範囲の内出血が生じることがあります。1 〜2週間程度で消失します。/施術の価格:手の甲+指198,000円(税込 217,800円)

    施術名:若返りPRP注射(手)/施術の説明:ご自身の血液から成長因子を抽出し、手の甲全体から指にかけてダイレクトに注入することで、皮膚そのものを修復・再生します。手がふっくらする事で細い血管が目立たなくなります。/施術の副作用(リスク):小範囲の内出血が生じることがあります。1
    〜2週間程度で消失します。

    施術の価格:手の甲+指198,000円(税込 217,800円)
  • 施術名:若返りPRP注射(ホホ)/施術の説明:ご自身の成長因子をホホに注入することで、内側からふっくらとハリ感を出すことができホホのお悩みを改善することができます。/施術の副作用(リスク):内出血や腫れを生じることがあります。

    施術の価格:98,000円(税込 107,800円)
  • 目の下

    施術名:若返りPRP注射(目の下)/施術の説明:ご自身の成長因子を皮下に注入することで目の下のクマやちりめんジワが改善し、若々しい目元になっております。/施術の副作用(リスク):内出血や腫れを生じることがあります。

    施術の価格:89,000円(税込 97,900円)
  • シリコンバッグ豊胸修正

    お胸

    施術名:シリコンバッグ豊胸修正/施術の説明:ご自身の成長因子を胸元に注入することで、自然な美しい胸になっております。/施術の副作用(リスク):内出血や腫れを生じることがあります。

    施術の価格:3部位380,000円(税込 418,000円)
  • 施術名:PRP注射[お胸]/施術の説明:ご自身の成長因子を胸元に注入することで、ボリュームのある美しい胸になっております。/施術の副作用(リスク):内出血や腫れを生じることがあります。/施術の価格:4部位 490,000円(税込 539,000円)

    お胸

    施術名:PRP注射[お胸]/施術の説明:ご自身の成長因子を胸元に注入することで、ボリュームのある美しい胸になっております。/施術の副作用(リスク):内出血や腫れを生じることがあります。

    施術の価格:4部位490,000円(税込 539,000円)
  • 目の下

    施術名:若返りPRP注射(目の下)/施術の説明:ご自身の成長因子を皮下に注入することで目の下のクマやちりめんジワが改善し、若々しい目元になっております。/施術の副作用(リスク):内出血や腫れを生じることがあります。

    施術の価格:89,000円(税込 97,900円)
  • 後頭部形成術

    後頭部

    施術名:後頭部形成術/施術の説明:後頭部に成長因子を注入することで美しい頭の形にする施術です。/施術の副作用:赤み、内出血、しこり、かぶれ、アレルギー反応等

    施術の価格:380,000円(税込 418,000円)
  • 目の下

    施術名:若返りPRP注射(目の下)/施術の説明:ご自身の成長因子を皮下に注入することで目の下のクマやちりめんジワが改善し、若々しい目元になっております。/施術の副作用(リスク):内出血や腫れを生じることがあります。

    施術の価格:89,000円(税込 97,900円)
  • 目の下

    施術名:PRP下眼瞼脱脂術/施術の説明:眼窩脂肪を取り出す「下眼瞼脱脂術」と「若返りPRP注射」を組み合わせハリのある美しい目元にする施術です。/施術の副作用(リスク):内出血や腫れを生じることがあります。

    施術の価格:240,000円(税込 264,000円)
  • 施術名:PRP注射[お胸]/施術の説明:ご自身の成長因子を胸元に注入することで、ボリュームのある美しい胸になっております。/施術の副作用(リスク):内出血や腫れを生じることがあります。/施術の価格:2部位 280,000円(税込 308,000円)

    お胸

    施術名:PRP注射[お胸]/施術の説明:ご自身の成長因子を胸元に注入することで、ボリュームのある美しい胸になっております。/施術の副作用(リスク):内出血や腫れを生じることがあります。

    施術の価格:2部位280,000円(税込 308,000円)
  • 若返りPRP注射(ほうれい線)

    ほうれい線

    施術名:若返りPRP注射(ほうれい線)/施術の説明:ご自身の成長因子を、ほうれい線に注入することで、内側からふっくらとハリ感を出すことができ深く刻まれたほうれい線を改善することができます。/施術の副作用(リスク):内出血や腫れを生じることがあります。

    施術の価格:89,000円(税込 97,900円)
  • 目尻

    施術名:若返りPRP注射(目尻のシワ)/施術の説明:ご自身の成長因子を皮下に注入することで目尻のシワが改善し、若々しい目元になっております。/施術の副作用(リスク):内出血や腫れを生じることがあります。

    施術の価格:89,000円(税込 97,900円)
  • 施術名:若返りPRP注射(額のシワ)/施術の説明:ご自身の成長因子を、額に注入することで、内側からふっくらとハリ感を出すことができ深く刻まれたほうれい線を改善することができます。/施術の副作用(リスク):内出血や腫れを生じることがあります。

    施術名:若返りPRP注射(額のシワ)/施術の説明:ご自身の成長因子を、額に注入することで、内側からふっくらとハリ感を出すことができ深く刻まれたほうれい線を改善することができます。/施術の副作用(リスク):内出血や腫れを生じることがあります。

    施術の価格:89,000円(税込 97,900円)
  • PRPコラーゲンリフト(60本)

    フェイスライン

    施術名:PRPコラーゲンリフト(60本)/施術の説明:PRPを含んだコラーゲン吸収糸をフェイスラインや頬、顎下に挿入することで、コラーゲンがW (ダブル) 産生され、引き締まった輪郭になります。/施術の副作用(リスク):内出血や腫れを生じることがあります。

    施術の価格:124,000円(税込 136,400円)
  • ほうれい線

    施術名:若返りPRP注射(ほうれい線)/施術の説明:ご自身の成長因子を、ほうれい線に注入することで、内側からふっくらとハリ感を出すことができ深く刻まれたほうれい線を改善することができます。/施術の副作用(リスク):内出血や腫れを生じることがあります。

    施術の価格:89,000円(税込 97,900円)
  • 後頭部形成術

    後頭部

    施術名:後頭部形成術/施術の説明:後頭部に成長因子を注入することで美しい頭の形にする施術です。/施術の副作用:赤み、内出血、しこり、かぶれ、アレルギー反応等

    施術の価格:380,000円(税込 418,000円)
  • 施術名:若返りPRP注射(ほうれい線)/施術の説明:ご自身の成長因子を、ほうれい線に注入することで、内側からふっくらとハリ感を出すことができ深く刻まれたほうれい線を改善することができます。/施術の副作用(リスク):内出血や腫れを生じることがあります。

    ほうれい線

    施術名:若返りPRP注射(ほうれい線)/施術の説明:ご自身の成長因子を、ほうれい線に注入することで、内側からふっくらとハリ感を出すことができ深く刻まれたほうれい線を改善することができます。/施術の副作用(リスク):内出血や腫れを生じることがあります。

    施術の価格:89,000円(税込 97,900円)
  • 若返りPRP注射(目の下)

    目の下

    施術名:若返りPRP注射(目の下)/施術の説明:ご自身の成長因子を皮下に注入することで目の下のクマやちりめんジワが改善し、若々しい目元になっております。/施術の副作用(リスク):内出血や腫れを生じることがあります。

    施術の価格:89,000円(税込 97,900円)
  • 若返りPRP注射(目の下)

    目の下

    施術名:若返りPRP注射(目の下)/施術の説明:ご自身の成長因子を皮下に注入することで目の下のクマやちりめんジワが改善し、若々しい目元になっております。/施術の副作用(リスク):内出血や腫れを生じることがあります。

    施術の価格:89,000円(税込 97,900円)
  • 施術名:若返りPRP注射(アゴ)/施術の説明:アゴの先端にPRP注射を注入することで、フェイスラインをシャープにみせ輪郭を綺麗にすることができます。/施術の副作用(リスク):内出血や腫れを生じることがあります。/施術の価格:89,000円(税込 97,900円)

    あご

    施術名:若返りPRP注射(アゴ)/施術の説明:アゴの先端にPRP注射を注入することで、フェイスラインをシャープにみせ輪郭を綺麗にすることができます。/施術の副作用(リスク):内出血や腫れを生じることがあります。

    施術の価格:89,000円(税込 97,900円)
  • 施術名:若返りPRP注射(目の下)/施術の説明:ご自身の成長因子を皮下に注入することで目の下のクマやちりめんジワが改善し、若々しい目元になっております。/施術の副作用(リスク):内出血や腫れを生じることがあります。/施術の価格:89,000円(税込97,900円)

    目の下

    施術名:若返りPRP注射(目の下)/施術の説明:ご自身の成長因子を皮下に注入することで目の下のクマやちりめんジワが改善し、若々しい目元になっております。/施術の副作用(リスク):内出血や腫れを生じることがあります。

    施術の価格:89,000円(税込 97,900円)
  • 施術名:若返りPRP注射(ほうれい線)/施術の説明:ご自身の成長因子を、ほうれい線に注入することで、内側からふっくらとハリ感を出すことができ深く刻まれたほうれい線を改善することができます。/施術の副作用(リスク):内出血や腫れを生じることがあります。/施術の価格:89,000円(税込97,900円)

    ほうれい線

    施術名:若返りPRP注射(ほうれい線)/施術の説明:ご自身の成長因子を、ほうれい線に注入することで、内側からふっくらとハリ感を出すことができ深く刻まれたほうれい線を改善することができます。/施術の副作用(リスク):内出血や腫れを生じることがあります。

    施術の価格:89,000円(税込 97,900円)
  • ほうれい線

    施術名:若返りPRP注射(ほうれい線)/施術の説明:ご自身の成長因子を、ほうれい線に注入することで、内側からふっくらとハリ感を出すことができ深く刻まれたほうれい線を改善することができます。/施術の副作用(リスク):内出血や腫れを生じることがあります。

    施術の価格:89,000円(税込 97,900円)
  • 施術名:w-スカルプ/施術の説明:ご自身の血液から抽出した成長因子を頭皮へダイレクトに注入することで、発毛サイクルを正常化し毛髪再生を促進する治療です。/副作用・リスク:効果の個人差、赤み、内出血、アレルギー反応、かぶれ/施術料金:1回 89,000円(税込 97,900円)

    毛髪

    施術名:w-スカルプ/施術の説明:ご自身の血液から抽出した成長因子を頭皮へダイレクトに注入することで、発毛サイクルを正常化し毛髪再生を促進する治療です。/副作用・リスク:効果の個人差、赤み、内出血、アレルギー反応、かぶれ

    施術の価格:1回89,000円(税込 97,900円)
  • 若返りPRP注射(こめかみ)

    こめかみ

    施術名:若返りPRP注射(こめかみの凹み)/施術の説明:ご自身の成長因子を皮下に注入することでこめかみの凹みが改善し、ふっくらとハリのあるこめかみになっております。/施術の副作用(リスク):内出血や腫れを生じることがあります。

    施術の価格:98,000円(税込 107,800円)
  • 施術名:PRP下眼瞼脱脂術/施術の説明:眼窩脂肪を取り出す「下眼瞼脱脂術」と「若返りPRP注射」を組み合わせハリのある美しい目元にする施術です。/施術の副作用(リスク):内出血や腫れを生じることがあります。/施術の価格:198,000円(税込 217,800円)

    目の下

    施術名:PRP下眼瞼脱脂術/施術の説明:眼窩脂肪を取り出す「下眼瞼脱脂術」と「若返りPRP注射」を組み合わせハリのある美しい目元にする施術です。/施術の副作用(リスク):内出血や腫れを生じることがあります。

    施術の価格:240,000円(税込 264,000円)
  • ほうれい線

    施術名:若返りPRP注射(ほうれい線)/施術の説明:ご自身の成長因子を、ほうれい線に注入することで、内側からふっくらとハリ感を出すことができ深く刻まれたほうれい線を改善することができます。/施術の副作用(リスク):内出血や腫れを生じることがあります。

    施術の価格:89,000円(税込 97,900円)
  • 施術名:若返りPRP注射(目の下)/施術の説明:ご自身の成長因子を皮下に注入することで目の下のクマやちりめんジワが改善し、若々しい目元になっております。/施術の副作用(リスク):内出血や腫れを生じることがあります。/施術の価格:89,000円(税込97,900円)

    目の下

    施術名:若返りPRP注射(目の下)/施術の説明:ご自身の成長因子を皮下に注入することで目の下のクマやちりめんジワが改善し、若々しい目元になっております。/施術の副作用(リスク):内出血や腫れを生じることがあります。

    施術の価格:89,000円(税込 97,900円)
  • 施術名:若返りPRP注射(マリオネット)/施術の説明:ご自身の成長因子を注入することで、内側からふっくらとハリ感を出すことができ深く刻まれたシワを改善することができます。/施術の副作用(リスク):内出血や腫れを生じることがあります。/施術の価格:89,000円(税込97,900円)

    マリオネット

    施術名:若返りPRP注射(マリオネット)/施術の説明:ご自身の成長因子を注入することで、内側からふっくらとハリ感を出すことができ深く刻まれたシワを改善することができます。/施術の副作用(リスク):内出血や腫れを生じることがあります。

    施術の価格:89,000円(税込 97,900円)
  • 施術名:若返りPRP注射(ほうれい線)/施術の説明:ご自身の成長因子を、ほうれい線に注入することで、内側からふっくらとハリ感を出すことができ深く刻まれたほうれい線を改善することができます。/施術の副作用(リスク):内出血や腫れを生じることがあります。/施術の価格:89,000円(税込97,900円)

    ほうれい線

    施術名:若返りPRP注射(ほうれい線)/施術の説明:ご自身の成長因子を、ほうれい線に注入することで、内側からふっくらとハリ感を出すことができ深く刻まれたほうれい線を改善することができます。/施術の副作用(リスク):内出血や腫れを生じることがあります。

    施術の価格:89,000円(税込 97,900円)
  • PRPコラーゲンリフト(80本)

    フェイスライン

    施術名:PRPコラーゲンリフト(80本)/施術の説明:PRPを含んだコラーゲン吸収糸をフェイスラインや頬、顎下に挿入することで、コラーゲンがW (ダブル) 産生され、引き締まった輪郭になります。/施術の副作用(リスク):内出血や腫れを生じることがあります。

    施術の価格:165,000円(税込 181,500円)
  • 目の下

    施術名:若返りPRP注射(目の下)/施術の説明:ご自身の成長因子を皮下に注入することで目の下のクマやちりめんジワが改善し、若々しい目元になっております。/施術の副作用(リスク):内出血や腫れを生じることがあります。

    施術の価格:89,000円(税込 97,900円)
  • w-スカルプ

    毛髪

    施術名:w-スカルプ/施術の説明:ご自身の血液から抽出した成長因子を頭皮へダイレクトに注入することで、発毛サイクルを正常化し毛髪再生を促進する治療です。/副作用・リスク:効果の個人差、赤み、内出血、アレルギー反応、かぶれ

    施術の価格:1回89,000円(税込 97,900円)
  • 後頭部形成術

    後頭部

    施術名:後頭部形成術/施術の説明:後頭部に成長因子を注入することで美しい頭の形にする施術です。/施術の副作用:赤み、内出血、しこり、かぶれ、アレルギー反応等

    施術の価格:380,000円(税込 418,000円)
  • 目の下

    施術名:PRP下眼瞼脱脂術/施術の説明:眼窩脂肪を取り出す「下眼瞼脱脂術」と「若返りPRP注射」を組み合わせハリのある美しい目元にする施術です。/施術の副作用(リスク):内出血や腫れを生じることがあります。

    施術の価格:240,000円(税込 264,000円)
  • ほうれい線

    施術名:若返りPRP注射(ほうれい線)/施術の説明:ご自身の成長因子を、ほうれい線に注入することで、内側からふっくらとハリ感を出すことができ深く刻まれたほうれい線を改善することができます。/施術の副作用(リスク):内出血や腫れを生じることがあります。

    施術の価格:89,000円(税込 97,900円)
  • ほうれい線

    施術名:若返りPRP注射(ほうれい線)/施術の説明:ご自身の成長因子を、ほうれい線に注入することで、内側からふっくらとハリ感を出すことができ深く刻まれたほうれい線を改善することができます。/施術の副作用(リスク):内出血や腫れを生じることがあります。

    施術の価格:89,000円(税込 97,900円)
  • 施術名:若返りPRP注射(こめかみの凹み)/施術の説明:ご自身の成長因子を皮下に注入することでこめかみの凹みが改善し、ふっくらとハリのあるこめかみになっております。/施術の副作用(リスク):内出血や腫れを生じることがあります。/施術の価格:98,000円(税込107,800円)

    こめかみ

    施術名:若返りPRP注射(こめかみの凹み)/施術の説明:ご自身の成長因子を皮下に注入することでこめかみの凹みが改善し、ふっくらとハリのあるこめかみになっております。/施術の副作用(リスク):内出血や腫れを生じることがあります。

    施術の価格:98,000円(税込 107,800円)
  • 施術名:PRP下眼瞼脱脂術/施術の説明:眼窩脂肪を取り出す「下眼瞼脱脂術」と「若返りPRP注射」を組み合わせハリのある美しい目元にする施術です。/施術の副作用(リスク):内出血や腫れを生じることがあります。/施術の価格:198,000円(税込 217,800円)

    目の下

    施術名:PRP下眼瞼脱脂術/施術の説明:眼窩脂肪を取り出す「下眼瞼脱脂術」と「若返りPRP注射」を組み合わせハリのある美しい目元にする施術です。/施術の副作用(リスク):内出血や腫れを生じることがあります。

    施術の価格:240,000円(税込 264,000円)
  • 施術名:若返りPRP注射(目の下)/施術の説明:ご自身の成長因子を皮下に注入することで目の下のクマやちりめんジワが改善し、若々しい目元になっております。/施術の副作用(リスク):内出血や腫れを生じることがあります。/施術の価格:89,000円(税込97,900円)

    目の下

    施術名:若返りPRP注射(目の下)/施術の説明:ご自身の成長因子を皮下に注入することで目の下のクマやちりめんジワが改善し、若々しい目元になっております。/施術の副作用(リスク):内出血や腫れを生じることがあります。

    施術の価格:89,000円(税込 97,900円)
  • 施術名:PRP下眼瞼脱脂術/施術の説明:眼窩脂肪を取り出す「下眼瞼脱脂術」と「若返りPRP注射」を組み合わせハリのある美しい目元にする施術です。/施術の副作用(リスク):内出血や腫れを生じることがあります。/施術の価格:198,000円(税込 217,800円)

    目の下

    施術名:PRP下眼瞼脱脂術/施術の説明:眼窩脂肪を取り出す「下眼瞼脱脂術」と「若返りPRP注射」を組み合わせハリのある美しい目元にする施術です。/施術の副作用(リスク):内出血や腫れを生じることがあります。

    施術の価格:240,000円(税込 264,000円)
  • 施術名:若返りPRP注射(手)/施術の説明:ご自身の血液から成長因子を抽出し、手の甲全体から指にかけてダイレクトに注入することで、皮膚そのものを修復・再生します。手がふっくらする事で細い血管が目立たなくなります。/施術の副作用(リスク):小範囲の内出血が生じることがあります。1 〜2週間程度で消失します。/施術の価格:手の甲+指198,000円(税込 217,800円)

    施術名:若返りPRP注射(手)/施術の説明:ご自身の血液から成長因子を抽出し、手の甲全体から指にかけてダイレクトに注入することで、皮膚そのものを修復・再生します。手がふっくらする事で細い血管が目立たなくなります。/施術の副作用(リスク):小範囲の内出血が生じることがあります。1
    〜2週間程度で消失します。

    施術の価格:手の甲+指198,000円(税込 217,800円)
  • シリコンバッグ豊胸修正

    お胸

    施術名:シリコンバッグ豊胸修正/施術の説明:ご自身の成長因子を胸元に注入することで、自然な美しい胸になっております。/施術の副作用(リスク):内出血や腫れを生じることがあります。

    施術の価格:2部位280,000円(税込 308,000円)
  • PRP注射プレミアム(ほうれい線)

    ほうれい線

    施術名:PRP注射プレミアム(ほうれい線)/施術の説明:ご自身の成長因子を、ほうれい線に注入することで、内側からふっくらとハリ感を出すことができ深く刻まれたほうれい線を改善することができます。/施術の副作用(リスク):内出血や腫れを生じることがあります。

    施術の価格:151,300円(税込 166,500円)
  • 施術名:若返りPRP注射(ほうれい線)/施術の説明:ご自身の成長因子を、ほうれい線に注入することで、内側からふっくらとハリ感を出すことができ深く刻まれたほうれい線を改善することができます。/施術の副作用(リスク):内出血や腫れを生じることがあります。/施術の価格:89,000円(税込97,900円)

    ほうれい線

    施術名:若返りPRP注射(ほうれい線)/施術の説明:ご自身の成長因子を、ほうれい線に注入することで、内側からふっくらとハリ感を出すことができ深く刻まれたほうれい線を改善することができます。/施術の副作用(リスク):内出血や腫れを生じることがあります

    施術の価格:89,000円(税込 97,900円)
  • 施術名:PRP注射[お胸]/施術の説明:ご自身の成長因子を胸元に注入することで、ボリュームのある美しい胸になっております。/施術の副作用(リスク):内出血や腫れを生じることがあります。/施術の価格:1部位 180,000円(税込 198,000円)

    お胸

    施術名:PRP注射[お胸]/施術の説明:ご自身の成長因子を胸元に注入することで、ボリュームのある美しい胸になっております。/施術の副作用(リスク):内出血や腫れを生じることがあります。

    施術の価格:1部位180,000円(税込 198,000円)
  • 施術名:PRP注射[お胸]/施術の説明:ご自身の成長因子を胸元に注入することで、ボリュームのある美しい胸になっております。/施術の副作用(リスク):内出血や腫れを生じることがあります。/施術の価格:4部位 490,000円(税込 539,000円)

    お胸

    施術名:PRP注射[お胸]/施術の説明:ご自身の成長因子を胸元に注入することで、ボリュームのある美しい胸になっております。/施術の副作用(リスク):内出血や腫れを生じることがあります。

    施術の価格:4部位490,000円(税込 539,000円)
  • 目の下

    施術名:若返りPRP注射(目の下)/施術の説明:ご自身の成長因子を皮下に注入することで目の下のクマやちりめんジワが改善し、若々しい目元になっております。/施術の副作用(リスク):内出血や腫れを生じることがあります。

    施術の価格:89,000円(税込 97,900円)
  • 施術名:若返りPRP注射(ほうれい線)/施術の説明:ご自身の成長因子を、ほうれい線に注入することで、内側からふっくらとハリ感を出すことができ深く刻まれたほうれい線を改善することができます。/施術の副作用(リスク):内出血や腫れを生じることがあります。/施術の価格:89,000円(税込97,900円)

    ほうれい線

    施術名:若返りPRP注射(ほうれい線)/施術の説明:ご自身の成長因子を、ほうれい線に注入することで、内側からふっくらとハリ感を出すことができ深く刻まれたほうれい線を改善することができます。/施術の副作用(リスク):内出血や腫れを生じることがあります。

    施術の価格:89,000円(税込 97,900円)
  • 目の下

    施術名:若返りPRP注射(目の下)/施術の説明:ご自身の成長因子を皮下に注入することで目の下のクマやちりめんジワが改善し、若々しい目元になっております。/施術の副作用(リスク):内出血や腫れを生じることがあります。

    施術の価格:89,000円(税込 97,900円)
  • 施術名:PRP注射[お胸]/施術の説明:ご自身の成長因子を胸元に注入することで、ボリュームのある美しい胸になっております。/施術の副作用(リスク):内出血や腫れを生じることがあります。/施術の価格:3部位 380,000円(税込 418,000円)

    お胸

    施術名:PRP注射[お胸]/施術の説明:ご自身の成長因子を胸元に注入することで、ボリュームのある美しい胸になっております。/施術の副作用(リスク):内出血や腫れを生じることがあります。

    施術の価格:3部位380,000円(税込 418,000円)
  • 施術名:PRP下眼瞼脱脂術/施術の説明:眼窩脂肪を取り出す「下眼瞼脱脂術」と「若返りPRP注射」を組み合わせハリのある美しい目元にする施術です。/施術の副作用(リスク):内出血や腫れを生じることがあります。/施術の価格:198,000円(税込 217,800円)

    目の下

    施術名:PRP下眼瞼脱脂術/施術の説明:眼窩脂肪を取り出す「下眼瞼脱脂術」と「若返りPRP注射」を組み合わせハリのある美しい目元にする施術です。/施術の副作用(リスク):内出血や腫れを生じることがあります。

    施術の価格:240,000円(税込 264,000円)
  • w-スカルプ [薄毛治療]

    毛髪

    施術名:w-スカルプ/施術の説明:ご自身の血液から抽出した成長因子を頭皮へダイレクトに注入することで、発毛サイクルを正常化し毛髪再生を促進する治療です。/副作用・リスク:効果の個人差、赤み、内出血、アレルギー反応、かぶれ

    施術の価格:1回89,000円(税込 97,900円)
  • 施術名:後頭部形成術/施術の説明:後頭部に成長因子を注入することで美しい頭の形にする施術です。/料金:260,000円(税込286,000円)/施術の副作用:赤み、内出血、しこり、かぶれ、アレルギー反応等

    後頭部

    施術名:後頭部形成術/施術の説明:後頭部に成長因子を注入することで美しい頭の形にする施術です。/施術の副作用:赤み、内出血、しこり、かぶれ、アレルギー反応等

    施術の価格:380,000円(税込 418,000円)
  • マリオネット

    施術名:若返りPRP注射(マリオネット)/施術の説明:ご自身の成長因子を注入することで、内側からふっくらとハリ感を出すことができ深く刻まれたシワを改善することができます。/施術の副作用(リスク):内出血や腫れを生じることがあります。

    施術の価格:89,000円(税込 97,900円)
  • 目の下

    施術名:若返りPRP注射(目の下)/施術の説明:ご自身の成長因子を皮下に注入することで目の下のクマやちりめんジワが改善し、若々しい目元になっております。/施術の副作用(リスク):内出血や腫れを生じることがあります。

    施術の価格:89,000円(税込 97,900円)
  • 施術名:若返りPRP注射(目の下)/施術の説明:ご自身の成長因子を皮下に注入することで目の下のクマやちりめんジワが改善し、若々しい目元になっております。/施術の副作用(リスク):内出血や腫れを生じることがあります。/施術の価格:89,000円(税込97,900円)

    目の下

    施術名:若返りPRP注射(目の下)/施術の説明:ご自身の成長因子を皮下に注入することで目の下のクマやちりめんジワが改善し、若々しい目元になっております。/施術の副作用(リスク):内出血や腫れを生じることがあります。

    施術の価格:89,000円(税込 97,900円)
  • 施術名:若返りPRP注射(目の下)/施術の説明:ご自身の成長因子を皮下に注入することで目の下のクマやちりめんジワが改善し、若々しい目元になっております。/施術の副作用(リスク):内出血や腫れを生じることがあります。

    目の下

    施術名:若返りPRP注射(目の下)/施術の説明:ご自身の成長因子を皮下に注入することで目の下のクマやちりめんジワが改善し、若々しい目元になっております。/施術の副作用(リスク):内出血や腫れを生じることがあります。

    施術の価格:89,000円(税込 97,900円)
  • 目の下

    施術名:PRP下眼瞼脱脂術/施術の説明:眼窩脂肪を取り出す「下眼瞼脱脂術」と「若返りPRP注射」を組み合わせハリのある美しい目元にする施術です。/施術の副作用(リスク):内出血や腫れを生じることがあります。

    施術の価格:240,000円(税込 264,000円)
  • 後頭部形成術

    後頭部

    施術名:後頭部形成術/施術の説明:後頭部に成長因子を注入することで美しい頭の形にする施術です。/施術の副作用:赤み、内出血、しこり、かぶれ、アレルギー反応等

    施術の価格:380,000円(税込 418,000円)
  • PRPスレッドリフト(スタンダード)

    フェイスライン

    施術名:PRPスレッドリフト(スタンダード)/施術の説明:従来のスレッド単独では得られない、長期間のリフトアップ効果、輪郭補正効果 、美肌再生効果のトリプル効果により、お顔の劇的な若返り効果が得られます。/施術の副作用(リスク):内出血や腫れを生じることがあります。

    施術の価格:245,000円(税込 269,500円)
  • w-スカルプ

    毛髪

    施術名:w-スカルプ/施術の説明:ご自身の血液から抽出した成長因子を頭皮へダイレクトに注入することで、発毛サイクルを正常化し毛髪再生を促進する治療です。/副作用・リスク:効果の個人差、赤み、内出血、アレルギー反応、かぶれ

    施術の価格:1回89,000円(税込 97,900円)
  • w-スカルプ

    毛髪

    施術名:w-スカルプ/施術の説明:ご自身の血液から抽出した成長因子を頭皮へダイレクトに注入することで、発毛サイクルを正常化し毛髪再生を促進する治療です。/副作用・リスク:効果の個人差、赤み、内出血、アレルギー反応、かぶれ

    施術の価格:1回89,000円(税込 97,900円)
  • 施術名:PRP下眼瞼脱脂術/施術の説明:眼窩脂肪を取り出す「下眼瞼脱脂術」と「若返りPRP注射」を組み合わせハリのある美しい目元にする施術です。/施術の副作用(リスク):内出血や腫れを生じることがあります。/施術の価格:198,000円(税込 217,800円)

    目の下

    施術名:PRP下眼瞼脱脂術/施術の説明:眼窩脂肪を取り出す「下眼瞼脱脂術」と「若返りPRP注射」を組み合わせハリのある美しい目元にする施術です。/施術の副作用(リスク):内出血や腫れを生じることがあります。

    施術の価格:240,000円(税込 264,000円)
  • こめかみ

    施術名:若返りPRP注射(こめかみの凹み)/施術の説明:ご自身の成長因子を皮下に注入することでこめかみの凹みが改善し、ふっくらとハリのあるこめかみになっております。/施術の副作用(リスク):内出血や腫れを生じることがあります。

    施術の価格:98,000円(税込 107,800円)
  • 目の下

    施術名:若返りPRP注射(目の下)/施術の説明:ご自身の成長因子を皮下に注入することで目の下のクマやちりめんジワが改善し、若々しい目元になっております。/施術の副作用(リスク):内出血や腫れを生じることがあります。

    施術の価格:89,000円(税込 97,900円)
  • 施術名:PRP注射[お胸]/施術の説明:ご自身の成長因子を胸元に注入することで、ボリュームのある美しい胸になっております。/施術の副作用(リスク):内出血や腫れを生じることがあります。/施術の価格:4部位 490,000円(税込 539,000円)

    お胸

    施術名:PRP注射[お胸]/施術の説明:ご自身の成長因子を胸元に注入することで、ボリュームのある美しい胸になっております。/施術の副作用(リスク):内出血や腫れを生じることがあります。

    施術の価格:4部位490,000円(税込 539,000円)
  • 後頭部形成術

    後頭部

    施術名:後頭部形成術/施術の説明:後頭部に成長因子を注入することで美しい頭の形にする施術です。/施術の副作用:赤み、内出血、しこり、かぶれ、アレルギー反応等

    施術の価格:380,000円(税込 418,000円)
  • w-スカルプ

    毛髪

    施術名:w-スカルプ/施術の説明:ご自身の血液から抽出した成長因子を頭皮へダイレクトに注入することで、発毛サイクルを正常化し毛髪再生を促進する治療です。/副作用・リスク:効果の個人差、赤み、内出血、アレルギー反応、かぶれ

    施術の価格:1回89,000円(税込 97,900円)
  • 施術名:w-スカルプ/施術の説明:ご自身の血液から抽出した成長因子を頭皮へダイレクトに注入することで、発毛サイクルを正常化し毛髪再生を促進する治療です。/副作用・リスク:効果の個人差、赤み、内出血、アレルギー反応、かぶれ

    毛髪

    施術名:w-スカルプ/施術の説明:ご自身の血液から抽出した成長因子を頭皮へダイレクトに注入することで、発毛サイクルを正常化し毛髪再生を促進する治療です。/副作用・リスク:効果の個人差、赤み、内出血、アレルギー反応、かぶれ

    施術の価格:1回89,000円(税込 97,900円)
  • 目の下

    施術名:若返りPRP注射(目の下)/施術の説明:ご自身の成長因子を皮下に注入することで目の下のクマやちりめんジワが改善し、若々しい目元になっております。/施術の副作用(リスク):内出血や腫れを生じることがあります。

    施術の価格:89,000円(税込 97,900円)
  • w-スカルプ

    毛髪

    施術名:w-スカルプ/施術の説明:ご自身の血液から抽出した成長因子を頭皮へダイレクトに注入することで、発毛サイクルを正常化し毛髪再生を促進する治療です。/副作用・リスク:効果の個人差、赤み、内出血、アレルギー反応、かぶれ

    施術の価格:1回89,000円(税込 97,900円)
  • 若返りPRP注射(額)

    施術名:若返りPRP注射(額のシワ)/施術の説明:ご自身の成長因子を、額に注入することで、内側からふっくらとハリ感を出すことができ深く刻まれたほうれい線を改善することができます。/施術の副作用(リスク):内出血や腫れを生じることがあります。

    施術の価格:98,000円(税込 107,800円)
  • 目の下

    施術名:若返りPRP注射(目の下)/施術の説明:ご自身の成長因子を皮下に注入することで目の下のクマやちりめんジワが改善し、若々しい目元になっております。/施術の副作用(リスク):内出血や腫れを生じることがあります。

    施術の価格:89,000円(税込 97,900円)
  • 若返りPRP注射(こめかみ)

    こめかみ

    施術名:若返りPRP注射(こめかみの凹み)/施術の説明:ご自身の成長因子を皮下に注入することでこめかみの凹みが改善し、ふっくらとハリのあるこめかみになっております。/施術の副作用(リスク):内出血や腫れを生じることがあります。

    施術の価格:98,000円(税込 107,800円)
  • 施術名:PRP下眼瞼脱脂術/施術の説明:眼窩脂肪を取り出す「下眼瞼脱脂術」と「若返りPRP注射」を組み合わせハリのある美しい目元にする施術です。/施術の副作用(リスク):内出血や腫れを生じることがあります。/施術の価格:198,000円(税込 217,800円)

    目の下

    施術名:PRP下眼瞼脱脂術/施術の説明:眼窩脂肪を取り出す「下眼瞼脱脂術」と「若返りPRP注射」を組み合わせハリのある美しい目元にする施術です。/施術の副作用(リスク):内出血や腫れを生じることがあります。

    施術の価格:240,000円(税込 264,000円)
  • 目の下

    施術名:若返りPRP注射(目の下)/施術の説明:ご自身の成長因子を皮下に注入することで目の下のクマやちりめんジワが改善し、若々しい目元になっております。/施術の副作用(リスク):内出血や腫れを生じることがあります。

    施術の価格:89,000円(税込 97,900円)
  • ほうれい線

    施術名:若返りPRP注射(ほうれい線)/施術の説明:ご自身の成長因子を、ほうれい線に注入することで、内側からふっくらとハリ感を出すことができ深く刻まれたほうれい線を改善することができます。

    施術の価格:89,000円(税込 97,900円)
  • 施術名:若返りPRP注射(マリオネット)/施術の説明:ご自身の成長因子を注入することで、内側からふっくらとハリ感を出すことができ深く刻まれたシワを改善することができます。/施術の副作用(リスク):内出血や腫れを生じることがあります。/施術の価格:89,000円(税込97,900円)

    マリオネット

    施術名:若返りPRP注射(マリオネット)/施術の説明:ご自身の成長因子を注入することで、内側からふっくらとハリ感を出すことができ深く刻まれたシワを改善することができます。/施術の副作用(リスク):内出血や腫れを生じることがあります。

    施術の価格:89,000円(税込 97,900円)
  • PRPスレッドリフト(ライト)

    フェイスライン

    施術名:PRPスレッドリフト(ライト)/施術の説明:従来のスレッド単独では得られない、長期間のリフトアップ効果、輪郭補正効果 、美肌再生効果のトリプル効果により、お顔の劇的な若返り効果が得られます。/施術の副作用(リスク):内出血や腫れを生じることがあります。

    施術の価格:198,000円(税込 217,800円)
  • 目の下

    施術名:若返りPRP注射(目の下)/施術の説明:ご自身の成長因子を皮下に注入することで目の下のクマやちりめんジワが改善し、若々しい目元になっております。/施術の副作用(リスク):内出血や腫れを生じることがあります。

    施術の価格:89,000円(税込 97,900円)
  • 施術名:若返りPRP注射(手)/施術の説明:ご自身の血液から成長因子を抽出し、手の甲全体から指にかけてダイレクトに注入することで、皮膚そのものを修復・再生します。手がふっくらする事で細い血管が目立たなくなります。/施術の副作用(リスク):小範囲の内出血が生じることがあります。1 〜2週間程度で消失します。/施術の価格:手の甲+指198,000円(税込 217,800円)

    施術名:若返りPRP注射(手)/施術の説明:ご自身の血液から成長因子を抽出し、手の甲全体から指にかけてダイレクトに注入することで、皮膚そのものを修復・再生します。手がふっくらする事で細い血管が目立たなくなります。/施術の副作用(リスク):小範囲の内出血が生じることがあります。1
    〜2週間程度で消失します。

    施術の価格:手の甲+指198,000円(税込 217,800円)
  • w-スカルプ

    毛髪

    施術名:w-スカルプ/施術の説明:ご自身の血液から抽出した成長因子を頭皮へダイレクトに注入することで、発毛サイクルを正常化し毛髪再生を促進する治療です。/副作用・リスク:効果の個人差、赤み、内出血、アレルギー反応、かぶれ

    施術の価格:1回89,000円(税込 97,900円)
  • 若返りPRP注射(目尻)

    目尻

    施術名:若返りPRP注射(目尻のシワ)/施術の説明:ご自身の成長因子を皮下に注入することで目尻のシワが改善し、若々しい目元になっております。/施術の副作用(リスク):内出血や腫れを生じることがあります。

    施術の価格:89,000円(税込 97,900円)
  • 施術名:PRP下眼瞼脱脂術/施術の説明:眼窩脂肪を取り出す「下眼瞼脱脂術」と「若返りPRP注射」を組み合わせハリのある美しい目元にする施術です。/施術の副作用(リスク):内出血や腫れを生じることがあります。/施術の価格:198,000円(税込 217,800円)

    目の下

    施術名:PRP下眼瞼脱脂術/施術の説明:眼窩脂肪を取り出す「下眼瞼脱脂術」と「若返りPRP注射」を組み合わせハリのある美しい目元にする施術です。/施術の副作用(リスク):内出血や腫れを生じることがあります。

    施術の価格:240,000円(税込 264,000円)
  • 施術名:PRP注射[お胸]/施術の説明:ご自身の成長因子を胸元に注入することで、ボリュームのある美しい胸になっております。/施術の副作用(リスク):内出血や腫れを生じることがあります。/施術の価格:3部位 380,000円(税込 418,000円)

    お胸

    施術名:PRP注射[お胸]/施術の説明:ご自身の成長因子を胸元に注入することで、ボリュームのある美しい胸になっております。/施術の副作用(リスク):内出血や腫れを生じることがあります。

    施術の価格:3部位380,000円(税込 418,000円)
  • 施術名:若返りPRP注射(額のシワ)/施術の説明:ご自身の成長因子を、額に注入することで、内側からふっくらとハリ感を出すことができ深く刻まれたほうれい線を改善することができます。/施術の副作用(リスク):内出血や腫れを生じることがあります。

    施術名:若返りPRP注射(額のシワ)/施術の説明:ご自身の成長因子を、額に注入することで、内側からふっくらとハリ感を出すことができ深く刻まれたほうれい線を改善することができます。/施術の副作用(リスク):内出血や腫れを生じることがあります。

    施術の価格:89,000円(税込 97,900円)
  • PRPサブシジョン法

    施術名:PRPサブシジョン法/施術の説明:クレーターの底の癒着した線維を切り離すだけでなく、凹みの部分に特殊な細い針でPRP注射を行い、皮膚を再生させることによりクレーターを埋めていく治療です。/副作用(リスク):内出血や腫れを生じることがあります。

    施術の価格:2×2cm20,000円(税込 22,000円)
  • w-スカルプ

    毛髪

    施術名:w-スカルプ/施術の説明:ご自身の血液から抽出した成長因子を頭皮へダイレクトに注入することで、発毛サイクルを正常化し毛髪再生を促進する治療です。/副作用・リスク:効果の個人差、赤み、内出血、アレルギー反応、かぶれ

    施術の価格:1回89,000円(税込 97,900円)
  • 施術名:若返りPRP注射(ほうれい線)/施術の説明:ご自身の成長因子を、ほうれい線に注入することで、内側からふっくらとハリ感を出すことができ深く刻まれたほうれい線を改善することができます。/施術の副作用(リスク):内出血や腫れを生じることがあります。/施術の価格:89,000円(税込97,900円)

    ほうれい線

    施術名:若返りPRP注射(ほうれい線)/施術の説明:ご自身の成長因子を、ほうれい線に注入することで、内側からふっくらとハリ感を出すことができ深く刻まれたほうれい線を改善することができます。/施術の副作用(リスク):内出血や腫れを生じることがあります。

    施術の価格:89,000円(税込 97,900円)